推医汇

首页 > 公司动态
首个新冠口服药来了,对疫情有何影响?
首个新冠口服药来了,对疫情有何影响?
近期,默克公司的新冠口服药,一时成为国庆期间最受关注的药物。这个口服抗新冠病毒药物莫努匹拉韦(Molnupiravir)...
2021-10-20 15:14
关于“B族链球菌感染”的那些事,一文了解!
关于“B族链球菌感染”的那些事,一文了解!
B族链球菌 (GBS)通常会出现在高达35%的健康女性的生殖道或胃肠道,感染GBS的孕妇可在分娩时或破膜后将GBS传播给新生儿,而新生儿感染GBS可导致败血症和 或脑膜炎。...
2021-10-20 15:10
8人同游均感染新冠!
8人同游均感染新冠!
10月18日,陕西、宁夏通报新增报告7例本土确诊病例、1例本土无症状感染者。...
2021-10-19 13:42
 Nat Med:抗体PGT121可长期抑制HIV感染
Nat Med:抗体PGT121可长期抑制HIV感染
自首次公布关于获得性免疫缺乏综合征(AIDS,俗称艾滋病)的报告以来的40年中,超过3200万人死于导致艾滋病的病毒--人类免疫缺陷病毒(HIV)。...
2021-10-19 11:26
澳门2天新增4例确诊,感染源头仍在调查
澳门2天新增4例确诊,感染源头仍在调查
据《澳门日报》报道,澳门特区政府新冠病毒感染应变协调中心(以下简称应变协调中心)于今早(10月5日)公布,澳门再新增一例确诊病例。此为澳门两年来第75例新冠确诊病例。...
2021-10-18 17:50
海里埃塔·拉克丝促成HPV疫苗和大量科学突破
海里埃塔·拉克丝促成HPV疫苗和大量科学突破
近日,已故的海里埃塔·拉克丝(Henrietta Lacks)获得世卫组织总干事奖,以示对她的一生、遗产和对医学贡献的认可...
2021-10-18 15:50
肺对新冠感染有强烈“免疫记忆”,新研究提示疫苗反应或
肺对新冠感染有强烈“免疫记忆”,新研究提示疫苗反应或
人体遭遇新冠病毒后,免疫系统不仅会对抗病毒,还能长时间“记住”它们,从而预防再次感染。这种长期的免疫记忆也是疫苗起保护作用的基础。...
2021-10-15 13:45
 济南为全市未满15岁女孩免费接种HPV疫苗,你羡慕了吗?
济南为全市未满15岁女孩免费接种HPV疫苗,你羡慕了吗?
近日,山东省济南市宣布,将为济南全市15个区县(功能区)内,年龄≤14岁(15周岁之前),且无HPV疫苗接种史的在校七年级女孩,免费接种国产2价HPV疫苗!...
2021-10-15 11:29
 凝血而死?每位新冠病毒感染者都可能会发生凝血功能障碍
凝血而死?每位新冠病毒感染者都可能会发生凝血功能障碍
新型冠状病毒肺炎(corona virus disease 2019,COVID-19)是由严重急性呼吸综合征冠状病毒-2 (severe acute respiratory syndrome coronavirus 2...
2021-10-14 14:17
面对发热,该从哪里下手?
面对发热,该从哪里下手?
发热很常见,该如何处理?...
2021-10-14 13:51
 专家观点:急性侵袭性曲霉病改变治疗时机的选择
专家观点:急性侵袭性曲霉病改变治疗时机的选择
侵袭性曲霉病(IA)是一种急性感染性疾病,主要累及免疫功能低下人群,包括恶性肿瘤化疗患者,以及器官移植或自身免疫病而接受免疫抑制剂治疗患者。...
2021-10-13 17:33
父母每长寿十年,后代感染新冠风险降低近七成?
父母每长寿十年,后代感染新冠风险降低近七成?
随着年龄增长,众多疾病的风险也随之增加,对于新冠也不例外。早在疫情爆发早期,人们就意识到老年人有着更高的新冠风险1。...
2021-10-13 15:35
有些人天生对新冠免疫,有些人永远不会得艾滋病
有些人天生对新冠免疫,有些人永远不会得艾滋病
苔丝·安德拉德可能是这个世界上为数不多的不会被新冠病毒感染的人。...
2021-10-12 16:46
可怕!竟然从眼睛里取出活虫!
可怕!竟然从眼睛里取出活虫!
人眼结膜吸吮线虫病是一种少见的以感染结膜吸吮线虫的犬、猫等动物为传染源,以果蝇为传播媒介的眼寄生虫病。...
2021-10-12 16:21
酵母菌感染:那些意料之外情理之中的事实
酵母菌感染:那些意料之外情理之中的事实
酵母菌中的耐药菌 罕见菌检出率增加,高危人群不断改变。...
2021-10-11 17:32
 眼睛痒查出寄生虫,可能和养狗有关?
眼睛痒查出寄生虫,可能和养狗有关?
日常生活中,我们离不开手机、电脑等各种电子产品,隐形眼镜的应用也十分广泛;因此眼干、眼痛、眼痒、眼部有异物感等不适症状十分常见。...
2021-10-11 15:18
女性尿频为哪般?不是感染是什么?
女性尿频为哪般?不是感染是什么?
在泌尿外科门诊中,女性患者最常因尿频而就诊。反复发作、治疗效果不满意。...
2021-10-09 16:00
病毒是不挑年龄的,手足口病不是儿童的专属疾病
病毒是不挑年龄的,手足口病不是儿童的专属疾病
手足口高峰期,成人也可能是传染源。...
2021-10-09 15:59
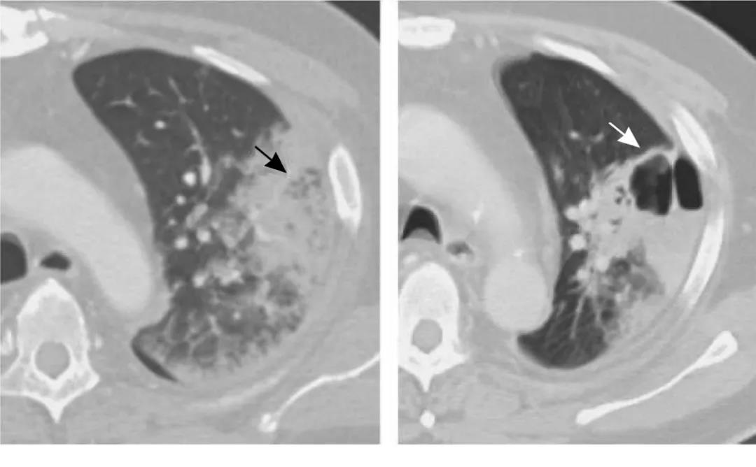
肺脓肿的病因、诊断与治疗,一文了解!
肺脓肿的病因、诊断与治疗,一文了解!
肺脓肿是指病原菌感染引起的肺实质组织的坏死。...
2021-10-08 16:22
揪心!13岁女孩喝下这种致命毒药!
揪心!13岁女孩喝下这种致命毒药!
一名驻马店的13岁女孩 喝下百草枯农药 生命垂危...
2021-10-08 11:30
378条 上一页 1 2 3 4 5 6 7 8 9 10 ..19 下一页