单位 | 秦皇市第一医院
01 前 言
利什曼病,又称黑热病,一般由杜氏利什曼原虫引起。该病的临床表现缺乏特异性,可表现为长期不规则发热伴畏寒、寒战,肝、脾肿大,渐进性贫血,淋巴结肿大及消耗症状;面部、四肢及腹部皮肤颜色变深,故名黑热病。该病误诊率高,易与血液系统疾病、风湿免疫系统疾病混淆,如未经治疗,病死率超过90%。
02 案例经过
患者,男,62岁,农民,右侧眉骨疼痛伴头痛,自觉周身乏力10余天,伴发热,最高体温39℃,自服“抗病毒口服液及黄连上清片、头孢类”药物治疗,未见明显改善,遂就诊于我院,门诊以“全血细胞减少”收入我院。
体格检查:T:38.2℃,P:116次/分,R:24次/分,BP:91/62mmHg.神志清楚,查体合作。右下颌淋巴结肿痛,局部皮肤未见发红,咽扁桃体发红。余无阳性体征。自发病以来,精神、睡眠可,饮食稍差。大便干燥。体重略下降3Kg。
辅助检查
影像学2021-04-14: 甲状腺及颈部淋巴结彩超:双侧颈部探及淋巴结(如图1A)
肝胆胰脾双肾彩超:肝脏阳性所见---肝硬化?(如图1B),脾大(如图1C)

图1
实验室检查:血常规(如图2)、便分析+粪便隐血(如图3)、生化全项(如图4)、呼吸道病原(如图5)、凝血七项、EB病毒测定、结核抗体、出血热病毒抗体、风湿三项、免疫八项、抗磷脂抗体未见明显异常。

图2

图3


图4

图5
骨髓检查:
①骨髓象分析报告(如图6):
描述:1.取材、涂片、染色良好。
2.增生活跃,G=18%、E=56.50%、G/E=0.32/1。
3.粒系比例减低,各阶段粒细胞均见。
4.红系比例增高,以中晚幼红为主。成熟红细胞未见明显形态异常。
5.淋巴细胞无明显增减,为成熟淋巴细胞。
6.全片共见巨核16个。其中颗粒巨10个,产板巨6个。血小板散在、小堆分布,易见。
7.可见嗜血现象。
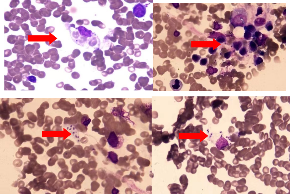
8. 可见利什曼原虫无鞭毛体,圆形或卵圆形,位于细胞外或巨噬细胞内,可见无鞭毛体内含有深紫红色的动基体,胞质呈淡蓝色。
9.血片白细胞少,成熟淋巴细胞、成熟单核细胞比例相对增高。成熟红细胞未见明显形态异常。血小板散在、小堆分布,易见。
图6
②骨髓病理:骨髓组织增生轻度低下,各系造血细胞均见。
③流式细胞报告:各群细胞比例如上(成熟淋巴细胞群51.39%、髓系原始细胞群1.07%、幼稚及成熟粒细胞群4.98%、成熟单核细胞群5.01%、幼稚红细胞群31.76%、B祖细胞群0.13%、嗜酸细胞群0.37%),粒系比例明显减低,SSC减小,以早幼粒细胞为主;红系比例增高,部分细胞CD71表达减弱;余系各表型未见明显异常,请结合临床及形态、遗传学检查。
④骨髓染色体:46,XY。目的基因WT1 0.57%。髓系肿瘤基因突变基础筛查检测报告:DNMT3A 3.7%,BCOR 100%。
03 案例分析
患者为中年男性,病程近1个月,主要表现为周身乏力,发热,全血细胞减少,肝脾大。典型的利什曼病以贫血最为常见(>90%)[1]。但本例患者表现为全血细胞减少,考虑可能与脾大,脾功能亢进有关。患者来自疫区,且为农民,有可疑流行病学史,在抗感染药物治疗效果不佳的基础上,需要警惕非典型病原体如黑热病的可能。
从实验室和影像学等辅助检查结果显示血常规异常,肝功能、心肌酶明显异常,超声结果显示肝脾肿大,双侧颈部有肿大的淋巴结。从骨髓细胞形态学检查,患者骨髓涂片可见利什曼原虫,是病原学检查阳性的可靠依据。在瑞氏吉姆萨染色下,可见细胞质呈淡蓝色,细胞核和动基体呈紫色的无鞭毛体[1](如图6)。
04 总结
利什曼病是全球易被忽视的传染病[2],每年全球有超过90个国家出现150万~200万新发病例[2]。根据传染来源的不同,分为人源型、犬源型和自然源型黑热病,传播媒介主要为白蛉,原虫随白蛉唾液进入人体皮下组织后,一部分被白细胞杀灭,另一部分进入巨噬细胞,在巨噬细胞内形成含虫空泡。
临床表现为缓慢发展的病程,潜伏期10 d至1年不等,可出现不规则发热伴畏寒、寒战,肝、脾肿大,渐进性贫血,淋巴结肿大及消耗症状;面部、四肢及腹部皮肤颜色变深,故称“黑热病”如未经治疗,病死率超过90%。对于具有典型临床表现的患者,应仔细询问流行病学史,并留意异常的辅助检查。
由于临床医师或病理医生对诊断黑热病的经验相对欠缺,在初诊时容易被误诊,以被误诊为血液系统疾病最为常见[3]。本病常见诊断手法有:病原学(如涂片法、培养法)、免疫学(如血清抗原抗体法)[4-5]和基因学(PCR)。综合以上检查做到尽早诊断,不延误病情。此病的防治主要包括采用五价锑剂治疗患者、杀灭病犬、灭蛉等措施[6]。
05 专家点评
(河北省秦皇岛市第一医院 吴侠 主任技师)
黑热病是由按蚊传播的利什曼原虫感染的寄生虫病,临床症状无特异性,易引起漏诊。目前,随着人民卫生水平的提高及生活习惯的大大改善,寄生虫感染已非常少见,但并不是彻底消灭,这就要求检验工作者掌握各类人体寄生虫的知识特点,以便能够做到不漏诊。本文作者详细记录并分析了患者发病及诊治过程,复习整理了利什曼原虫的相关知识,为寄生虫的检验工作者提供了宝贵的经验与指导。
参考文献
[1]《中华传染病杂志》编辑委员会. 中国利什曼原虫感染诊断和治疗专家共识[J]. 中华传染病杂志, 2017,35(9):513-518.
[2]中华人民共和国卫生行业标准黑热病诊断标准. 中国标准书号: WS258—2006[S]. 北京:人民卫生出版社, 2006.
[3]张鹏,宏霖,杨云莲等. 婴幼儿黑热病误诊为噬血细胞综合征三例原因分析[J]. 临床误诊误治, 2015,28(1):57-59.
[4]苏桂华,李修萍.黑热病31例误诊原因分析[J].临床误诊误治,2010 23(10):959-960.
[5]银玲,邓蓉,李欢.黑热病伴继发性噬血细胞综合征一例[J].临床内科杂志 2018,35(6):414-415.
[6]人体寄生虫学[M].四川大学出版社,2006.1