前言
十二指肠贾第虫也称为蓝氏贾第鞭毛虫或肠贾第虫,是一种能够引起散发性或流行性腹泻的原虫类寄生虫,其主要寄生于人和某些哺乳类动物的小肠。高危人群包括婴幼儿、跨国被收养者、旅行者、免疫功能低下者和囊性纤维化患者。蓝氏贾第鞭毛虫病在卫生设施落后、水处理条件有限的地区尤其常见。十二指肠蓝氏贾第鞭毛虫传播的途径有3种:水源性传播、食源性传播或粪-口传播,蓝氏贾第鞭毛虫病临床表现严重程度不一,有无症状者,急性、慢性感染者。急性感染主要表现为腹泻、脂肪泻、腹胀、发热及呕吐等,慢性感染者可因吸收不良导致体质量下降,以及获得性乳糖不耐受。在罕见情况下,蓝氏贾第鞭毛虫可从十二指肠播撒至胆管和胰管,导致胆囊炎、胆管炎或肉芽肿性肝炎。
临床资料患者,男,30岁,在深圳工作生活10年。婴儿时期曾有不明病因的黄疸性肝炎,治疗后好转。儿时居住在农村,平时喜食生的瓜果蔬菜,6~12岁每年夏天不明原因腹痛1~2个月,服用中药后好转。12岁后未再出现腹痛及腹泻。近2年感疲惫,喝牛奶后易出现腹胀及腹泻,乳糖不耐受,近期无外出旅行史,无高血压及糖尿病等慢性疾病,无长期服用药物史,近期无动物接触史。
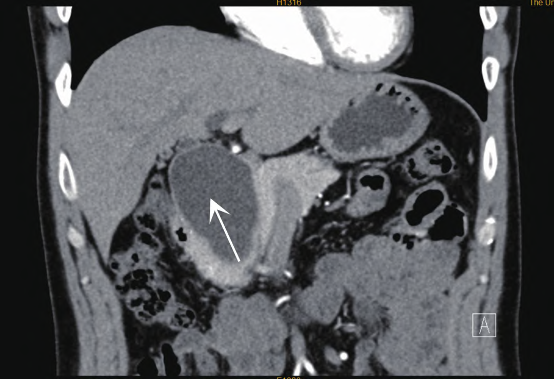
患者因发现胆总管囊肿20 d就诊,入院前2周偶有腹胀伴恶心,无呕吐,无发热,无腹泻及腹痛,无胸痛,无消瘦,无皮疹。腹部无压痛及反跳痛,Murphy征为阴性,肝、脾、肋下未扪及,移动性浊音为阴性。血常规检查显示,白细胞计数8.06×109/L,血红蛋白159 g/L,血小板计数216×109/L,嗜酸性粒细胞0.26×109/L。肝功能检查显示,丙氨酸氨基转移酶13.7 U/L,天门冬氨酸氨基转移酶17.6 U/L,清蛋白45.1 g/L,总胆红素9.6 μmol/L,直接胆红素3.9 μmol/L。血淀粉酶74 U/L,血糖正常,人类免疫缺陷病毒(HIV)抗原及抗体均为阴性,免疫球蛋白(Ig)A 2.53 g/L。腹部CT检查显示肝门下-胰头区较大囊性灶,考虑胆总管囊肿(Ⅰ型),最大径为49 mm×49 mm×77 mm,胰头部胰管略受压扩张(图1),入院后行胆总管囊肿切除及胆肠吻合术。
胆汁湿片镜检法

注:箭头处为胆总管囊肿。
图1 上腹部增强CT(矢状位)
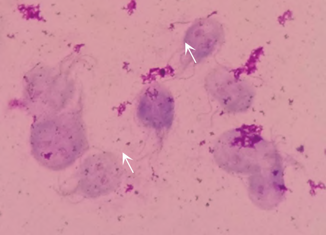
本院所有肝胆外科手术均会在术中采用胆汁湿片镜检法找寄生虫及虫卵、胆汁细菌培养,通过胆汁湿片镜检发现数个左右摆动的梨形滋养体(图2)。为进一步形态学鉴定,做了革兰染色(图3)和吉姆萨染色(图4),见两侧对称梨形滋养体,尾部、虫体两侧及腹部均可见鞭毛,头部有2个对称卵圆形细胞核,经形态学鉴定为蓝氏贾第鞭毛虫滋养体。

注:箭头处为梨形滋养体。
图2 胆汁-直接湿片镜检(×100)

注:箭头处为梨形滋养体。
图3 胆汁-革兰染色(×1 000)
胆总管囊肿及胆囊病理检查报告提示胆总管囊肿及急慢性胆囊炎,胆汁细菌培养结果无细菌生长,最终诊断为胆道蓝氏贾第鞭毛虫病。给予甲硝唑500 mg 静脉滴注,每8小时1次,治疗10 d,复查3次大便均未见虫卵,患者出院1个月后随访无腹胀及腹痛等不适,叮嘱患者避免再次进食未煮熟食物及污染水源,注意饮食卫生。

注:箭头处为梨形滋养体。
图4 胆汁-吉姆萨染色(×1 000)
讨 论
蓝氏贾第鞭毛虫是肠内寄生原虫,宿主范围非常广泛,能感染人和多种脊椎动物,文献报道有多种动物均有蓝氏贾第鞭毛虫感染。蓝氏贾第鞭毛虫的生活史存在2个形态不同的阶段,即滋养体和包囊。包囊是蓝氏贾第鞭毛虫的感染形式,它可随粪便排出体外,在潮湿环境中可存活较长时间,包囊被摄入后,会在近端小肠脱囊,形成滋养体。滋养体主要寄生在近端小肠进行繁殖,未附着于小肠的滋养体会移向大肠,恢复为包囊形式排出体外而传播疾病,滋养体也可经粪便排出体外,但滋养体在体外不能存活。因此,在粪便检测中可发现包囊和滋养体两种形态。本病例胆汁中只看到滋养体,未见包囊,符合蓝氏贾第鞭毛虫的生活史特点。由于蓝氏贾第鞭毛虫包囊排出具有间断性,所以检测大便时并未发现滋养体和包囊。
为排查患者是否有免疫缺陷性疾病,对本病例进一步检查HIV抗原及抗体均为阴性,IgA水平正常,无反复感染、无囊性纤维化及免疫球蛋白缺陷病史。分析患者发病原因,考虑是因为患者有先天性胆总管囊肿在儿童时期未被发现及处理,平时喜欢生吃瓜果蔬菜,蓝氏贾第鞭毛虫经污染的食物进入肠道,因其存在胆道结构异常,蓝氏贾第鞭毛虫从小肠进入胆道系统中寄生导致感染,也可能是在手术时肠道内容物反流至胆管造成胆汁污染。
本病例的确诊,得益于微生物实验室常规开展的胆汁湿片镜检法发现蓝氏贾第鞭毛虫滋养体,最终确诊为胆道蓝氏贾第鞭毛虫病,给予驱虫治疗。因而提醒临床工作者,对于无结石性胆道系统疾病,应将胆道寄生虫感染纳入鉴别诊断,留取大便、胃镜取十二指肠液、经内镜逆行胰胆管造影或手术取胆汁行虫卵检查,以避免误诊或漏诊。
(参考文献略)