李红森 | 贵港市妇幼保健院
指导老师:袁凯旋 广东省人民医院检验科
01 前 言
外周血涂片染色镜检,是筛查急性白血病、骨髓增生异常肿瘤(MDS)、骨髓增殖性肿瘤(MPN)简而有效的方法,当外周血出现一定比例的幼稚细胞时,多提示以上3类疾病,然而,还有更多的疾病等着我们去总结。
02 案例经过
患者男、60岁,半年前无明显诱因发现右侧腹股沟淋巴结增大,约4cm,无红肿热痛、双下肢乏力,同时出现腹胀,偶有反酸,无黑便、恶心呕吐,未就诊,2月前上腹胀加重。7月10日就诊于当地医院,胸部+腹部CT平扫:胃窦部、贲门区增厚改变,伴纵膈、双肺门、腋窝及腹膜后多发肿块及结节影,怀疑淋巴瘤?胃癌伴多发淋巴结转移?胃镜超声显示不规则溃疡,病理活检胃粘膜淋巴组织增生性疾病,考虑淋巴造血系统肿瘤。现为进一步治疗入院。血常规检验结果见图1:

图1
患者血常规:WBC 11.12×10^9/L↑,HB 122g/L↓,PLT 206.0×10^9/L,淋巴细胞计数5.04×10^9/L↑,淋巴细胞百分比45.3%。血片镜检可见一定比例的幼稚细胞,见图2

图2
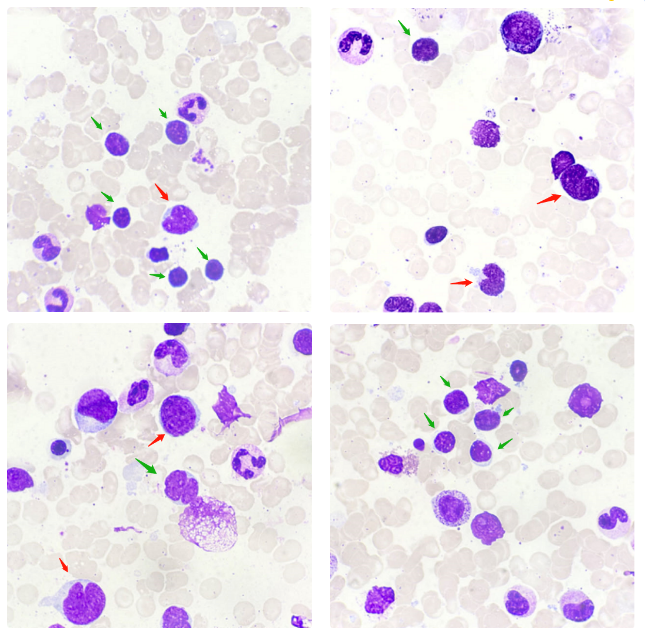
笔者镜检的第一印象考虑肿瘤样淋巴细胞,计数完成后,把血片和骨髓片交给了一起进修的其他老师,然而,进修的老师提出了异议,镜下的细胞部分形似幼稚细胞,怎么和上次看到的肿瘤样淋巴细胞不一样,见图3:

图3(红色箭头形似幼淋细胞,绿色箭头肿瘤样淋巴细胞)
患者骨髓细胞学检查结果见图4:

图4
意见:骨髓增生明显活跃,肿瘤样淋巴细胞占40.0%,外周血占19.0%,考虑成熟淋巴肿瘤骨髓浸润,带教老师在肿瘤样淋巴细胞一栏进行了描述(少部分形似原幼淋细胞)。
骨髓流式:骨髓标本检测到约28.85%的异常表型的B淋巴细胞,此细胞表达CD19,CD5,FM17,CD25(弱),CD22,Lambda,CD45RA,CD20,不表达CD10,CD23,CD38,CD56,Kappa,CD45RO,TdT。考虑B淋巴细胞增殖性疾病。
骨髓病理活检见图5

图5
患者最终诊断为套细胞淋巴瘤累及骨髓(Ⅳ期)。
03 案例分析
弄懂套细胞淋巴瘤患者骨髓和外周血为什么会出现一定比例的幼稚细胞,首先需要了解淋巴细胞在人体发育成熟的路径。
套细胞淋巴瘤是B淋巴细胞从骨髓迁移最先恶性增殖的惰性淋巴瘤,某些患者B淋巴细胞还停留在幼稚阶段,当这一阶段异常增殖时,肿瘤细胞浸润骨髓,可导致骨髓和外周血出现一定比例的幼稚细胞。
浸润骨髓的套细胞淋巴瘤具有以下形态学特征[1]:肿瘤细胞中等大小,核边缘明显不规则或有切迹,少数形态学亚型类似于原始细胞或多形细胞。必须与PLL、急性淋巴细胞白血病(ALL)鉴别,极少数形态学类似于CLL细胞,甚至免疫表型为CD5+CD23+,故检测cyclin D1阳性或t(11;14)(q13;q32)至关重要。由于慢性淋巴细胞白血病(CLL)也在此阶段恶性增殖,因此部分CLL骨髓象和外周血亦会出现一定比例的幼稚细胞。
套细胞淋巴瘤患者临床表现:淋巴结肿大、脾肿大及骨髓或外周血受累,其他常见的结外受累部位为胃肠道和韦氏环。国内有文献报道[2-3]:54例套细胞淋巴瘤结外器官最常见受累部位为骨髓(72.2%),与此同时另外一篇纳入了89例套细胞淋巴瘤患者的骨髓受累比例(61.80%)。
骨髓受累可累及外周血,导致外周血象出现异常。笔者进修期间遇到几例套细胞淋巴瘤,血常规多表现为正常,当外周血肿瘤样淋巴细胞比例不高时,仅仅依靠外周血筛查,极易漏诊。本案例,白细胞轻度增高、淋巴细胞比值正常,血小板和血色素大致正常,血常规未违法复检规则,检验人员每天需要审核成百上千份血常规结果,而这份化验单大概率不会引起大家的重视。
惰性淋巴瘤患者的筛查,最重要的是临床症状和体征,当检查提示全身多发淋巴结肿大时,须行骨髓细胞形态学检查排除有无肿瘤样淋巴细胞浸润骨髓。骨髓细胞形态学检查虽然不能明确诊断疾病,但具有病理活检和骨髓流式不具备的优势——快速筛查疾病,同时可指导医生对患者采取更有效的治疗。
04 心得体会
随着检验技术的发展,借助血液细胞形态的筛查,同时与临床医生沟通,淋巴瘤这类少见病一定会做到早诊断、早治疗。
[参考文献]
[1]中华医学会血液学分会白血病淋巴瘤学组,中国抗癌协会血液肿瘤专业委员会,中国慢性淋巴细胞白血病工作组.B细胞慢性淋巴增殖性疾病诊断与鉴别诊断中国专家共识(2018年版)[J].中华血液学杂志,2018,39(5):359-365.
[2]杨萍,刘圆圆,安然等.54例套细胞淋巴瘤患者的临床特征及疗效分析[J].中国实验血液学杂志,2018,26(5):1336-1341.
[3]刘婉艺.89例套细胞淋巴瘤的临床特征及预后分析[D].福建医科大学,2017.