作者 | 赵而玉 王兰英 高亚林
单位 | 同济大学附属东方医院胶州医院
01前 言
痛风是高嘌呤代谢紊乱和尿酸排泄障碍致使血液中的尿酸超饱和,以尿酸钠结晶的形式沉积在关节腔、韧带、肾脏等软组织处。国际上以在关节液或肿胀局部组织找到尿酸钠结晶作为诊断痛风性关节炎的金标准[1]。
02案例经过
患者 男26岁,以右膝红肿、疼痛3天,外院门诊就诊后转入我院住院治疗,临床初步诊断1.右膝感染2.痛风,临床开具血常规、血生化、积液细菌学检查并送检穿刺液(右膝关节腔积液)常规检查及右膝关节CT检查。结果如下:
血常规部分结果:WBC 13.52(3.5~9.5X10^9/L),CRP 218.84(0~10mg/L),ESR 72 (0~15mm/H)
血生化部分结果:尿酸555.0(203~417umol/L),ASO 7.0(0~200IU/mL),RF 13.0 (<14.0 IU/mL) ,CCP <8.0 (<17.0 U/mL),IL41.6(≤7pg/mL),PCT 0.211(<0.046ng/mL)
穿刺液常规结果:外观呈黄色 浑浊 无凝块 李凡他实验++ WBC 28809X10^6/L 镜检见中性粒细胞为主约占86%, 淋巴细胞及巨噬细胞约占14%,可见尿酸钠结晶,考虑与痛风有关,具体请结合临床。
微生物结果:

影像学CT结果:

临床反馈:
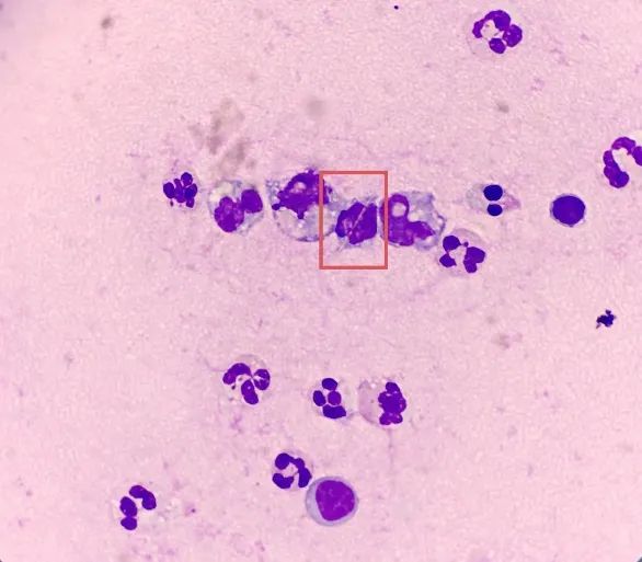
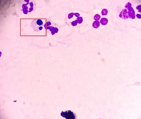
关节腔积液涂片镜检结果如下图:

湿片X400

湿片X1000


瑞姬氏染色 X1000

抗酸染色X1000

革兰染色X1000
03案例分析
通过血常规WBC、CRP、ESR及血生化PCT、IL-6结果均升高及影像CT结果可知患者存在右膝关节存在严重感染,由于ASO、RF、CCP不升高排除类风湿性关节炎,患者血UA升高,会不会是痛风性关节炎呢?有没有其他检查可以证实呢?
幸好临床送检穿刺液常规(右膝关节腔积液),通过镜检发现该积液在X400和X1000湿片状态下,易见形态相似的两头针尖状、弱折光性穿入白细胞的结晶,这种细针状的结晶是什么结晶呢?
查阅病历资料发现该患者以右膝关节感染、痛风收治入院,难道这种细针状结晶与痛风有关?经形态学专家老师的建议,将该类结晶加0.1mmol/L稀盐酸后可见到尿酸结晶,这一点可与焦磷酸钙结晶相鉴别,加5%NAOH后该结晶消失。
血尿酸是555umol/L,又加做关节积液尿酸测定,结果为502 umol/L,当血尿酸大于420umol/L时,尿酸钠结晶可析出,沉积在关节、滑膜、软骨、骨周围软组织,引起炎症[2]。积液涂片瑞姬氏染色后,油镜下可清晰的看到穿透白细胞的细针状结晶,不同于焦磷酸该结晶的菱形或棒状结构,至此终于揭开了尿酸钠结晶的庐山真面目,穿刺液常规检查也支持临床痛风性关节炎的诊断。
根据关节腔积液细胞形态学检验中国专家公识(2023),急性痛风性关节炎时细白细胞总数增高,可达20000X10^6/L,该患者白细胞数时28809 X10^6/L,中性粒细胞约占86%,那么会不会合并化脓性关节炎呢?
加做抗酸染色、革兰染色及积液培养等细菌学相关检查,未见抗酸杆菌及其他细菌,排除细菌感染的可能。公识中提到普通光学显微镜及偏振光显微镜均可找到尿酸钠结晶,偏振光显微镜检出率更高,该积液涂片通过普通光学显微镜湿片和瑞姬氏染色、革兰染色及抗酸染色,均可看到的穿透白细胞的尿酸钠结晶。
检验科电话通知临床关节腔积液内可见尿酸钠结晶,考虑感染与痛风有关,符合临床诊断,对症治疗直至患者康复出院。
04案例总结
根据2015年10月,美国风湿病学会(ACR)与欧洲抗风湿病联盟(EULAR)于《Arthritis&Rheumatology》上发布的痛风性关节炎的最新诊断标准,以关节滑囊或痛风结节中找到尿酸盐(MSU)结晶为诊断痛风的金标准。通常尿酸钠结晶湿片易见,,但是瑞姬氏染色、革兰染色、抗酸染色等染色后少见,因此我们要练就火眼金睛,准确揪出“元凶”。
关节液中报道最多的病理性结晶有尿酸单钠结晶、双水焦磷酸钙结晶,其次是磷酸钙结晶,类固醇结晶和胆固醇结晶,另外少数药物浓度增高时也会形成结晶,如环丙沙星结晶、左氧氟沙星结晶等。
通过该病例的学习,深刻体会到”纸上得来终觉浅,绝知此事要躬行”这句诗的含义,体液常规分析中经常会遇到外观或者形态类似的结晶,不能仅仅观察标本外观颜色进行主观的判断,而是要充分利用每种结晶的各自独特的物理或者化学特性进行客观鉴别分析,减少检验报告的错误率,为临床提供一份真实可靠的检验报告。
05案例体会
关节积液常规检验是骨关节病的重要诊断项目,关节积液中各类真假结晶产生与温度和环境酸碱度变化相关,不同条件下的晶体存在形式和状态不一样,对于不同种类结晶的鉴别具有重要关系[3]。在平时的检验工作中,检验老师应熟练掌握专业知识,提升自身的业务水平,当遇到类似的体液常规标本时,要以认真负责的工作态度,结合患者的临床诊断和病历资料进行综合分析,检以求真,验以求实,竭尽所能为患者服务。
参考文献
[1] 苏厚恒,赵娜,李霞等.痛风患者与医师对痛风的认知和诊治现状调查分析[J].中华风湿病学杂志,2013,17(4):255-258.
[2]尿酸高一定会得痛风吗?[J].健康指南(医疗保健服务),2014,(第7期).
[3]徐立,刘若囡,时乐,等.温度对离体条件下尿酸盐结晶沉积的影响[J].中药药理与临床, 2011,27(02):123-124.