推医汇

首页 > 行业动态

颈动脉斑块小囊泡携特定微RNA揭示动脉硬化风险,助力精准判断斑块稳定性

2025-07-28 17:06:21来源:生物谷
在日常生活中,脑卒中(中风)是一种高发且危害极大的疾病,而无症状颈动脉狭窄(aCAS)是引发缺血性脑卒中的重要危险因素。目前,对于aCAS患者的最佳管理策略,临床指南尚未达成共识,尤其是在预防性血运重建与单纯最佳药物治疗的获益方面存在不确定性。传统观点认为脑卒中风险与斑块大小和管腔狭窄程度相关,但这种评估在aCAS病例中并不总是可靠的。越来越多的证据表明,颈动脉斑块的成分或易损性,而非其大小,更易引发缺血性脑血管事件。然而,关于易损斑块形成和进展的确切机制尚未完全明确,且缺乏临床可靠的非侵入性生物标志物来识别易损aCAS患者。

近期,发表在MedComm上的一项研究Carotid Plaque-Derived Small Extracellular Vesicles Mediate Atherosclerosis and Correlate With Plaque Vulnerability围绕颈动脉斑块来源的小细胞外囊泡(psEVs)展开,为解决这些问题带来了新的思路。

该研究从aCAS患者的稳定和易损(斑块内出血(IPH)或纤维帽破裂(FCR))斑块中分离出psEVs,发现psEVs本身足以在体外诱导炎症性内皮功能障碍,并在ApoE缺陷小鼠中加剧动脉粥样硬化。对psEVs的microRNA测序(测序队列,n=18)发现,有21种差异表达的microRNA(DEmiRNAs)可区分稳定斑块和易损斑块,41种DEmiRNAs可区分IPH和FCR亚型。

 

 

 

图 1:测序队列中从无症状颈动脉狭窄患者分离出的斑块来源大细胞外囊泡和斑块来源小细胞外囊泡的分离与表征

研究人员通过qRT-PCR和高通量纳米生物芯片集成液体活检系统进行后续验证,发现在发现队列(n=178)和独立外部队列(n=82)中,血浆来源的sEV中的miR-497-5p、miR-152-3p和miR-204-5p能有效区分稳定斑块和易损斑块,而miR-23a-3p和miR-143-5p可进一步区分IPH和FCR亚型。

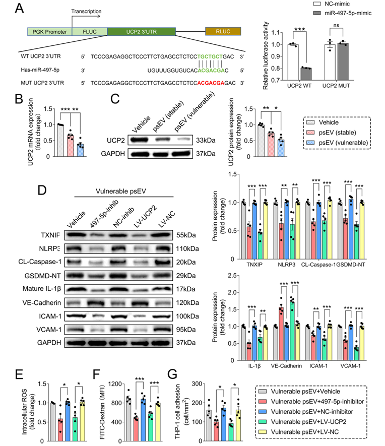
机制研究表明,miR-497-5p通过直接靶向具有抗动脉粥样硬化作用的解偶联蛋白2(UCP2),成为易损psEVs促炎和促动脉粥样硬化作用的关键介质。具体来说,易损psEVs可将miR-497-5p传递到血管内皮细胞中,miR-497-5p会抑制UCP2的表达,而UCP2是一种关键的线粒体抗氧化蛋白,其表达降低会导致活性氧(ROS)产生增加,进而激活硫氧还蛋白相互作用蛋白(TXNIP)/NLRP3炎症小体通路,引发内皮炎症和功能障碍,促进动脉粥样硬化的发展。

 

图 2:斑块来源小细胞外囊泡在体外和体内对内皮炎症的影响

图 3:易损斑块来源小细胞外囊泡部分通过传递微小RNA-497-5p和抑制解偶联蛋白2促进内皮炎症

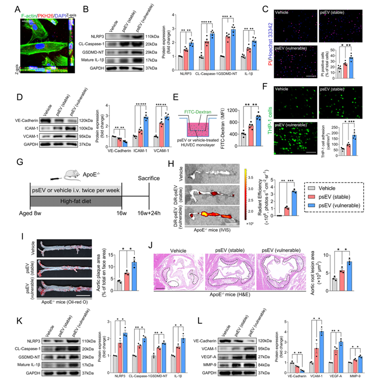
此外,研究还对psEVs的分离和特性进行了研究,证实从人颈动脉斑块的细胞外间隙中存在组织来源的细胞外囊泡(Ti-EVs),且通过多步骤工艺分离出的斑块来源大细胞外囊泡(plEVs)和psEVs符合MISEV2023指南的典型特征。同时,在体外实验中,psEVs能触发内皮炎症,且易损psEVs的促炎作用更强;在体内实验中,psEVs会加剧ApoE敲除小鼠的内皮炎症和动脉粥样硬化,其中易损psEVs对动脉粥样硬化病变的靶向能力更强,引发的病变更严重。

综上所述,这项研究揭示了颈动脉斑块来源的小细胞外囊泡在动脉粥样硬化和斑块易损性中发挥的重要作用,其携带的特定microRNA有望成为评估aCAS患者斑块易损性的生物标志物,为aCAS患者的风险分层和治疗决策提供了有价值的见解,有助于未来更好地预防和治疗缺血性脑卒中,减轻其对患者和社会的危害。

参考文献:

Xu X, Lu T, Feng Y, et al. Carotid Plaque-Derived Small Extracellular Vesicles Mediate Atherosclerosis and Correlate With Plaque Vulnerability. MedComm (2020). 2025;6(6):e70220. Published 2025 May 19. doi:10.1002/mco2.70220